歯科衛生士が語る
「うちのクリーニングはこういう考え方でやっています」
当院では、「EMSエアフロー」という歯のクリーニングで使う機械を導入しています。
機械の先から「お湯」と「微粒子パウダー」が混ざったものが出て、歯についた汚れを落としてくれます。
今までのクリーニングの機械(超音波スケーラー)と何が違うのか?やることがどう変わったのか?
当院の歯科衛生士2人が熱く!語ります!

目次
- 実は保険のクリーニングも60分です
- 「お湯」と「微粒子パウダー」で汚れを落とす「EMSエアフロー」
- 虫歯にならない術(すべ)を身に着けてもらいたい
- 患者さんは自分の歯をどれくらい磨けている?
- 当院に通っている方は「EMSエアフロー」1回目無料です!
- 取材後記
ー僕(インタビュアー)は春日部出身です。実は両親ともラビット歯科春日部さんでお世話になっており、ありがとうございます!僕の言うことは聞かなくても、吉田院長の言うことは聞いてくれるんです。(汗)お2人のご出身はどちらですか?

【島村】
私は茨城の常総市出身です。

【小野塚】
春日部出身です。
実は保険のクリーニングも60分です
ー「EMSエアフロー」という新しい機械が入ったそうですが、やはり自費ですか?

【小野塚】
完全に自費ではありません。
保険のクリーニング料金に+して「EMSエアフロー」のパウダー代を頂く形で提供しています。
保険での歯のクリーニングは60分です。
保険としては時間が長いけど、それくらいの方がしっかり出来、やりがいがあります。
ー60分?!ふつうの歯医者さんの歯のクリーニングの時間は「30分」が平均ですが。

【小野塚】
クリーニングはもちろん、患者さんとコミュニケーションをしっかり取りたいということもあって、40分から少しずつ長くしていって結局60分になりました。
ー40分で収まらなかった?

【小野塚】
「EMSエアフロー」が入って、メンテナンスの内容が「バージョンアップ」したんです。
エアフローの導入をキッカケに、毎回「歯の染め出し」をするようになったんです。
今現在ラビット歯科でのメンテナンスでは毎回、写真撮影・歯ぐきの検査・染め出し、必要に応じてレントゲン撮影も行います。
しっかりと検査を行うので、時間がかかるようになりました。
もちろん検査後には今日の状態を説明したり、質問があれば答えたりコミニュケーションの時間もあります。


「お湯」と「微粒子パウダー」で汚れを落とす「EMSエアフロー」
ー自分もやったことがあるのですが、「EMSエアフロー」の一番の感動ポイントは「お湯が出る」でした。お口の中がまるで温泉のようで気持ちよかったんです。

【小野塚】
「EMSエアフロー」は「粉」と「お水」をスプレー状にして歯に吹き付けてプラークを除去します。
今までは歯周ポケットの中のプラークは「超音波スケーラー」、歯石は「超音波スケーラー」もしくは「ハンドスケーラー」、そして最後に仕上げとして「回転するブラシ」で歯面をキレイにして、歯の間はフロスを通します。
これが保険メンテナンスのセオリーです。




【小野塚】
ですが「超音波スケーラー」はお水と振動を使ってプラークや歯石を浮かせるので、
患者さんによっては、しみたり痛みを感じる方もいました。
ーあの”キーン”ってやつですね。

【小野塚】
そうです。
それが嫌で歯医者を避けてしまう方が多いのも事実です。
「EMSエアフロー」は歯に触れずにプラークを除去できるので、不快感がかなり軽減されます。

【島村】
エアフローの粉は「エリスリトール」という「キシリトール」の仲間で出来てます。
虫歯予防のガムにも入ってる「キシリトール」ですが、実は「エリスリトール」の方が虫歯予防効果が高いといわれています。
目に見えない菌の活動を抑えてくれ、歯の表面を覆っている「ペリクル」という被膜の除去もできます。
「ペリクル」は保険の機械では落とせません。
「EMSエアフロー」では染め出されたプラークや着色が落とせますが、頑固な歯石は取れないので
「ピエゾン」という機械で歯石を除去します。
「ピエゾン」は保険メンテナンスで使う「超音波スケーラー」とほとんど同じ形ですが、自動で振動の強さを調節してくれるのでこちらも不快感はかなり軽減できます。

ー保険でのメンテナンスと「EMSエアフロー」でのメンテナンスで処置時間に違いはありますか?

【島村】
保険ではおおよそ20〜30 分くらいは掛かりますが、「EMSエアフロー」を使うと早くて10分、汚れが多くても20分くらいで終わるようになります。

虫歯にならない術(すべ)を身に着けてもらいたい
ークリーニング以外の副産物は?

【島村】
副産物的なところは着色も取れます。
また、すぐに汚れが落ちるので残った時間を「セルフケアのアドバイス」や、直接メンテナンスには関係ないんですけれど「最近お仕事いかがですか?」「体調はどうですか?」などの話を聞くことが出来ます。
雑談の中でその方の生活習慣を知ればどういうアドバイスをすればいいかが分かるので、実はすごく大事なんです。

【小野塚】
私が大事にしているのは、患者さんに現状を理解してもらうことです。
次に、虫歯にならない術(すべ)を身に着けてもらいたい。
私自身、歯の知識がないまま、中学高校時代を過ごし歯科衛生士の専門学校に入りました。
学び始めた時に、自分の口腔内が大変なことになっていることに気づいたんです。
行っていた歯科医院では一切説明が受けられなかった・・・昔ながらのおじいちゃん先生のいる歯医者さんに通っていたことによって、自分の「デンタルIQ」が上がることなく来てしまったという経緯があります。
同じ思いを患者さんにしてほしくないので、私は「手技(しゅぎ:治療やメンテナンス)」よりも「話」に時間を割くことがすごく多いです。
例えば、うちに初めて来た方で虫歯が多い場合、一般の歯科医院の治療は30分でおしまいですが、1時間あればどうしてこうなったのか?を突き止めて、どう改善していくか・・・食生活・歯ブラシ習慣・その他もろもろを一緒に理解してもらえる時間を取れます。
ーどうして虫歯になったかも教えてもらえるんですね!それは衛生士さんの仕事として定義されているものですか?

【島村】
そうですね「歯科保健指導」ですね。
歯科衛生士の「3大業務」です。
ー3大業務?

【島村】
1、歯科予防措置(歯のお掃除)
2、歯科診療補助(アシスト)
3、歯科保健指導
です!!
ー知りませんでした!!ラビット歯科では、60分取れることでより、この3つが網羅できるんですね!3大業務の3つ目が大事ですね!変わりますよね、その人も。

【小野塚】
続けて来てくださっている患者さんで、最初は歯周病も歯石もすごかった人がいたんです。
正直歯磨きはまだトレーニング中ですが、口の中がキレイになると美意識も上がるみたいで「歯のホワイトニングがやりたい!」と始めたら歯が真っ白になってきて、行動変容にもつながっていると実感しています。
ー歯磨き指導・・・父もそうですが昭和の団塊の世代の歯磨き、すごくてゴシゴシします、デッキブラシのような。(汗)

【島村】
その世代の方って、正しいブラッシングを教わる機会がなかったんじゃないかと思います。
今ほど「予防歯科」という概念が歯科業界でもなかった・・・痛くなったら歯医者に行って、ダメになったら抜歯していい入れ歯にして、という世代だったと思います。
ー僕も歯ブラシ指導を受けてますが「歯磨き指導」の対象になる人は、どれくらいですか?

【島村】
ほとんどの方が対象になりますね。
患者さんは自分の歯をどれくらい磨けている?
ーなんと!ちなみに、衛生士さん目線で「患者さんは自分の歯をどれくらい磨けている」と感じますか?

【島村】
6割7割、まれに9割くらいの人がいるという感じです。
100%は不可能、私たち専門職でも不可能です。
自分でする歯磨きはどうしてもキレイにできない部分があるので、メンテナンスに来ないと無理だということを分かってほしいです。
ーえ・・・それくらいしかできてないんですね、ショック。(泣)
あと、「俺ダメだな」と思っている人、「歯医者に口の中を見せたくもない」と思っている人、あきらめている人・・・来たら迷惑ですか?

(2人ともブンブン首を振って)
【島村】
全然困らないです。
むしろ「このタイミングで来てくれてありがとう!私たちが介入出来てよかったな」と思います。
そこで1本でも歯が残っていれば、よかったと。
ー聖母マリア的な・・・あ、歯がなくても大丈夫ですか??

【島村】
うちは義歯(ぎし:入れ歯)が得意な先生もいるので、歯を抜くことになっても大丈夫です!
→入れ歯の詳しくはコチラ
あきらめている人、歯医者に苦手で来れない人が「ここだったらいけるかも」
と思ってもらえるといいなと思います。
ー・・・優しい顔で対応してもらえます?

【島村】
はい、もちろんです。
ラビット春日部がキッカケになって、歯医者さんへ通ってくれるといいなと思います。
ー歯のクリーニングで通っている方は、どれくらいの間隔で通っているんですか?

【島村】
その方のプラーク(歯垢:しこう)の付き具合や歯肉炎症の強さ、染め出しの結果どれくらい磨き残しがあるのか?どれくらい出血があるか?歯周ポケットの状態、虫歯のリスク、今までの処置した歯の数などを鑑みて、ご提案しています。
ー結構厳しい目ですか?

【島村】
「患者さんが無理なく通える間隔」と「私たちと思うベストな間隔」とで
落としどころをつけるようにしています。
そもそも必要性が分からないと「なんでそんなに来なきゃいけいないの?」と思う方もいるので、患者さんの生活背景をよく知ることがまず第一だと考えています。
当院に通っている方は「EMSエアフロー」1回目無料です!
ー「EMSエアフロー」は、パウダー代だけとのことでしたが。

【小野塚】
はい、パウダー代をプラスしたお代を頂いています。
なるべくお財布の負担が少なく、且ついいものを使ってほしいと思っています。
気持ちいい治療を1回体験してほしいので、初回のお試しはお金を頂いていないです。
1回体験してもらって、次回からお金もらうシステムです。
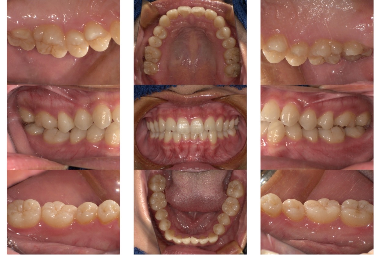
あと、歯の矯正をしている方にはおススメです。(下記画像参照)
以前の道具では、染め出しなんて怖くて出来ませんでした。
歯の矯正のメンテナンスをしている方は、マストで使っていただいています。
他の医院さんで歯の矯正している方でメンテナンスだけ希望の方も、30分11000円(自費)でEMSエアフローが出来ます!
あったかいお湯で施術するので「お口の中が温泉みたい~」と話していた患者さんもいました。
それくらい気持ちいいので、まずは1回体験してもらえるといいと思います。

取材後記
自分が施術されている時は、まじまじと治療器具を見ることがないなと気づきました。
「ハンドスケーラー」も「超音波スケーラー」も結構痛そうな見た目をしている・・・見た目だけでなくてそりゃ痛く感じる訳だ、となんだが合点がいってしまいました。(笑)
自身もEMSエアフロー体験者ですが、本当にクリーニングの概念が変わります。
「しみたり痛かったりが言いづらいけど、仕方なくクリーニングに通っている」そんな方には本当にお勧めです。

