クリーニング時の染め出しについて🤔
2026.01.25
こんにちは😃歯科衛生士の山崎です!
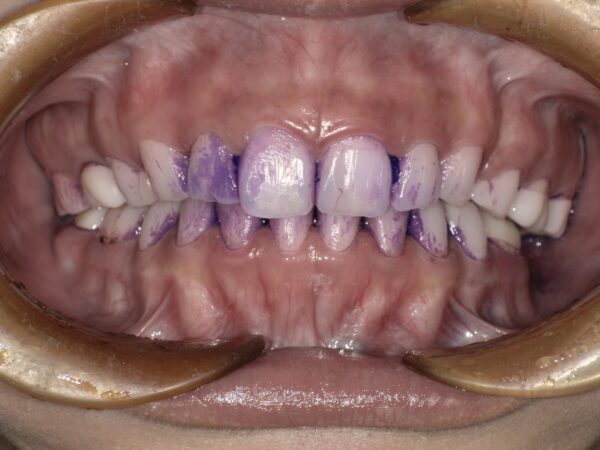
当院でメンテナンスをされている方はご存知かと思いますが、当院ではクリーニングの前にプラーク(歯垢)の染め出しを行っています。
染め出しの主な目的は、プラークを視覚的に確認することです。
プラークは、歯の表面に残る細菌の塊で、これが放置されると虫歯や歯周病の原因になってしまいます😭
しかし、プラークは歯と同じ色をしているので肉眼ではっきりと見ることができないため、染め出し液を使ってプラークがどこにどのくらい残っているかを目で見て確認できるようにするのです💡
それを元に歯ブラシの当て方やどんな補助用具を使えば効率的に磨けるかなどを歯科衛生士がアドバイスさせていただいています。

また染め出しをすることで、私たち歯科衛生士もプラークが残っているところを重点的に確認しながらクリーニングを行うことができるため、取り残す確率も減らせるうえに必要以上にクリーニングし過ぎてしまう事もなくなり、まさに一石二鳥‼️
染め出しを通じて、日頃の歯磨きの技術をさらに向上させ、健康な歯を守っていきましょう😄

