痛ガリーナちゃんのエアーフロー(EMS)
みなさんこんにちは。
ラビット歯科院長の吉田です。
突然ですが、
私、すごい痛みに弱いです。
麻酔の注射もすごく苦手です。
痛ガリーナちゃんなんです。
自分は患者さんへ年間2,000本以上注射打ってるくせに、
自分がやられるとテンション下がります。
だから、一般的に歯医者さんで使われる
超音波のスケーリング(汚れや歯石取り)も苦手です。
なんで、
少し歯の汚れが気になった時は、
エアーフロー(EMS)をやってもらってます。
今回は、
忙しい衛生士さんのスキマ時間に、
前歯の黄ばみだけ短時間でやってもらってる様子と、
エアーフローの効果を見てもらうために、
歯科助手さんに手伝ってもらい、
お見苦しくも、私がやられてる様子をお見せいたします。
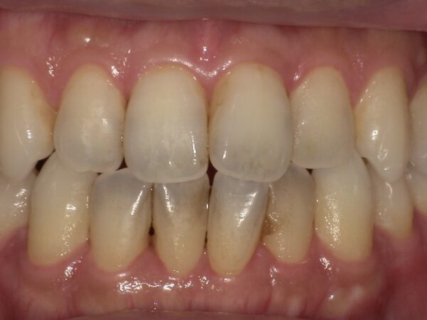
①びふぉー
昼ごはん食べた直後。
良く見たらネギ詰まってるし。
着色は、毎朝のマックコーヒーと、
たまにファミマの台湾烏龍茶の積み重ねです。

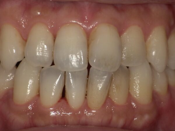
②左だけエアーフロー
所要時間3分。違いがわかるかな?

③わかりやすく汚れの染め出し
明らかです。たった3分でこの違い。

④あふたー
仕上げのエアーフロー。所要時間4分。
キャッキャしながらも合計15分で
見えるとこだけこの仕上がり。

⑤やってる最中(見れるかな?)
IMG_3646
IMG_3635
早いですよね。
汚れも着色もこのスピードで除去します。
エアーフローは
痛く無いし、味も良い。
甘いのとレモンのような甘スッパイ粉があります。
やった後の歯のツルツル感は気持ちいいですね。
しかし、
ヒゲが見苦しい、、、
このエアーフロー(EMS)を導入してから、
衛生士さんの仕事がスピーディーになり、
患者さんの満足度が明らかに高いので、
みんなが満足しています。
忙しいなか綺麗にしてくれてありがとう。

