矯正始めました2024⑤
2025.11.07
こんにちは!歯科衛生士の山崎です。
5回目の矯正ブログになります。
ようやく1クール目が終わり、10月の矯正日にさりげなく予約を取らせていただいて、再度スキャンをして2クール目のマウスピースを作成しました。
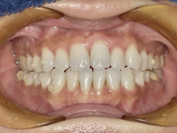
今回も正面からの写真を見ていただこうかと思います。



以前よりきちんと歯が並んできていて噛み合わせの隙間も閉じてきているのがわかります。
写真を撮ると変化がわかりやすいですね〜🥹
予定ではあと1年半ほどかかるようですが、きれいに並んできているのが実感できるとこれからも頑張ろうと思えます✨
そしてそれと同時に矯正治療をしていると切っても切り離せない虫歯‼︎
私も常に気にしています…🥲
当院では定期的なクリーニングを受けていただくようお話させていただいていますが、それと同時にセルフケアも非常に大切です。
今、私が虫歯予防のために使っているのがスタッフブログでも何度か紹介されているPOICウォーターです。

うがいを30秒するだけで口の中を殺菌しつつ、歯についたプラークを一層分解してくれるという優れもの✨
全てのプラークを分解してくれるわけではないのでそのあとの歯磨きは必要になりますが、プラークは取れやすくなります👍
矯正している方も、していない方でもかなり効果的なのでぜひ使ってみてください✨

